Donate now
EN
29 February 2024
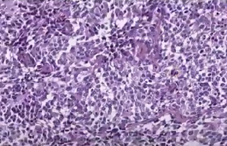
Lung cancer

Rare Disease Day 2024: How IARC is tackling rare cancers

Rare cancers are cancer types with fewer than 6 newly diagnosed cases per 100 000 people per year. Although individually these cancer types occur rarely, taken together, rare cancer types account for about 25% of all cancer diagnoses. The lack of data on rare cancers results in slow progress in understanding the biology of these tumours. This contributes to poorer outcomes: the 5-year overall survival rate for rare cancers (~49%) is significantly lower than that for more common cancers (~63%).

At the International Agency for Research on Cancer (IARC), the Rare Cancers Genomics Team leads projects to improve the understanding of rare cancers. One example is the lungNENomics project, which aims to improve the diagnosis and clinical management of lung neuroendocrine tumours. 

 

Close Reading Mode
UP